Treatment of Non-alcoholic Fatty Liver Disease

Overview

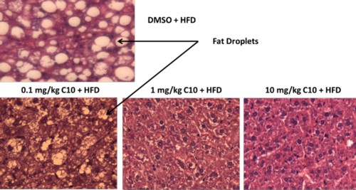
C10 compounds and size fo fat droplets

Non-alcoholic fatty liver disease (NAFLD) is a disease of excess fat accumulation in the liver of individuals with no history of alcohol abuse which can lead to hepatitis, scarring, cirrhosis, and ultimately hepatic failure resulting in coma or death. It is the leading cause of liver transplantation and primary liver cancer in the U.S. The prevalence of NAFLD ranges from 10% to 24% in the general population and is associated with obesity, type 2 diabetes, and metabolic syndrome. Fatty liver disease (FLD) is observed in up to 75% of obese people, and 35% of those individuals will progress to NAFLD. Treatment consists of weight loss, fat restricted diet, and lipid-lowering medications. Currently, there are no treatments that target the progressive hepatic inflammation seen in NAFLD.

Fatty liver compounds

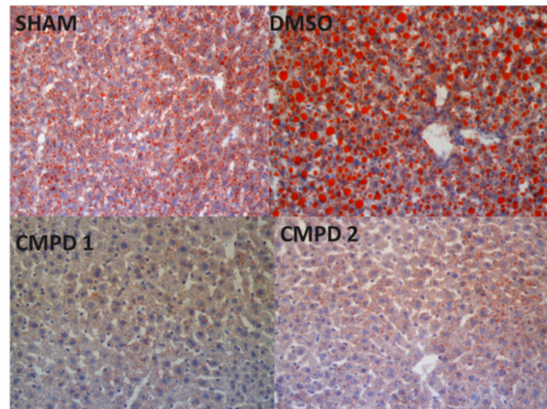
This invention presents a novel group of compounds that could be developed into the first targeted therapy for NAFLD, shifting the treatment paradigm from managing the co-morbidities to treating the disease itself.

Tech ID: 14001; 14004; 14025 

Patent(s):
US9750723B2
US10023567B2
US10392381B2
US10407420B2
US10633377B2
JP6648108B2
CN106659714B
CA2955582C

EP3169323A2

Inventors

Dr. Kelly McCall, Ph.D. Associate Professor of Specialty Medicine, Ohio University Heritage College of Osteopathic Medicine

Dr. Frank Schwartz, M.D. FACE Professor of Endocrinology, Ohio University Heritage College of Osteopathic Medicine

Dr. Douglas Goetz, Ph.D. Professor of Chemical and Biomolecular Engineering, Ohio University Russ College of Engineering and Technology

Dr. Ramario Malgor, M.D. Associate Professor of Pathology, Ohio University Heritage College of Osteopathic Medicine