Research in the Neuromusculoskeletal Lab

The overall goal of our laboratory's research is to improve the diagnosis, treatment and prevention of sarcopenia, frailty and osteoporosis.

This work ranges from more basic studies on the neuromuscular mechanisms of age-related impairments in muscle function and mobility, to the development of innovative technologies and approaches for improving the diagnosis of sarcopenia and osteoporosis, to conducting clinical trials on novel drugs (e.g., myostatin-inhibitors, skeletal muscle calcium sensitizers, and neurotherapeutic agents), exercise interventions, and nutritional supplements. As such, our work is centrally focused on "translational physiology," as it sits at the intersection of the bench and bedside. Overall, this work seeks to improve the diagnosis, treatment, and prevention of sarcopenia, frailty and osteoporosis, and the research across the various foci has an overarching aim of developing interventions that ultimately extend the health span and promote healthy aging.

Looking for science-based tips for healthy aging? Please visit the NIH MedLine Plus Magazine.

Want to watch an hour long seminar about the research? If so, view a lecture Dr. Clark delivered in the fall of 2024.

Neuromuscular Mechanisms of Muscle Weakness, Fatigue-Resistance, and Mobility Limitations

Graph about neuromuscular junction failure

Muscle weakness and atrophy are common clinical phenomena observed associated with aging as well as following cast immobilization, bed rest, surgery, spaceflight, and injury or disease. For around two decades we have worked to better delineate the mechanisms underlying the loss of muscle and motor function that occurs as a result of both aging and disuse. This work has clearly indicated that the nervous system plays a critical role in both muscle weakness and fatigue resistance. For instance, our original work has indicated that reductions in neuronal excitability and motor unit function and firing rates, neuromuscular junction transmission failure, accelerated brain aging are key contributors to muscle weakness and mobility limitations associated with aging. We have observed similar findings in our highly  rigorous experimentally controlled studies of disuse. These contributions are important as the development of rationale and effective therapeutic interventions targeting restoration of muscle function necessitates an in-depth understanding of the neural and muscular mechanisms mediating muscle and motor function.

Active and Completed Research Projects

  • NIH/NIA R01AG078129. PI: Clark and Arnold. Neural mechanisms of age-related weakness. $3,117,230. 07/01/2023-06/30/2028.
  • NIH/NIA R01AG067758. PI: Clark, Elbasiouny, and Arnold. Motoneuronal mechanisms underlying age-related muscle weakness. $4,092,352 (includes supplements). 06/01/2021-05/31/2026.
  • NMD Pharma. PI’s: Clark and Arnold. Investigating Loss of Neuromuscular Junction transmission Fidelity.    $215,604. 04/01/2020-06/31/2022.
  • NIH/NIA R01AG044424. PI: Clark. Neural mechanisms of dynapenia. $1,376,867. 9/1/14-1/31/22.
  • NIH/NICHD R15 HD065552. PI: Clark. Intracortical mechanisms of muscle weakness. $620,331 (includes supplement). 7/01/10-6/31/13.
  • NASA NGT5-50446. PI: Clark (Graduate Student Research Fellowship). Neuromuscular function and countermeasures to prolonged unweighting. $72,000. 7/1/03-6/31/06.

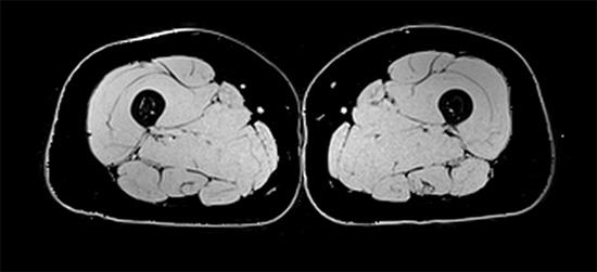
Development of Innovative Technologies and Approaches for Improving the Diagnosis of Sarcopenia and Osteoporosis

We have been deeply involved with numerous efforts to better define the diagnosis of sarcopenia and osteoporosis. 

Knee strength testing

With regards to sarcopenia, the scientific and medical communities have largely assumed that the age-related loss of muscle size was the primary determinant of age-related muscle weakness. Our work has indicated that the mechanisms of weakness in the elderly is not due solely to muscle wasting, and that other physiological factors contribute strongly to weakness. We initially proposed the term "dynapenia" to define age-related weakness. In more recent years our perspectives have been incorporated into most of the recent consensus definitions of sarcopenia such that low muscle function (not mass) is the primary characteristic of sarcopenia. We are currently working with Myolex Inc. to examine the potential clinical utility of a point-of-care diagnostic (electrical impedance myography).

With regards to osteoporosis, the current standard for assessing bone health and diagnosing osteoporosis is to use dual-energy x-ray absorptiometry (DXA) to quantify the areal bone mineral density (BMD), typically at the hip and spine. However, DXA-derived BMD has limited discriminatory accuracy for distinguishing individuals that experience fragility fracture from those who do not. One well known limitation of DXA-derived BMD is that it does not adequately assay bone strength. There is a critical unmet need to better identify persons with diminished bone strength who are at high risk of experiencing a fragility fracture in order to prescribe appropriate therapy. We have been working with OsteoDx Inc. to develop Cortical Bone Mechanics Technology (CBMT) as a potential new diagnostic approach to assess skeletal health and improve osteoporosis diagnosis. CBMT leverages multifrequency vibration analysis to conduct a noninvasive, dynamic 3-point bending test that makes direct, mechanical measurements of ulnar cortical bone. Data indicates that CBMT-derived ulnar flexural rigidity accurately estimates ulnar whole bone strength and provides information about cortical bone that is unique and independent of DXA-derived BMD. We are currently conducting a multi-center clinical utility study to assess the accuracy of CBMT-derived ulnar flexural rigidity in discriminating post-menopausal women who have suffered a fragility fracture from those who have not. These data will be compared to DXA-derived peripheral and central measures of BMD obtained from the same subjects. Note: Brian Clark is a co-founder of OsteoDx Inc. He has equity in the company and serves as their Chief of Aging Research. 

Active and Completed Research Projects

  • NIH/NIA R44AG074840 (Phase 2 SBIR). PI’s: Clark, Lupton, Arnold. Accurate and rapid assessment of sarcopenia in older adults through electrical impedance myography. $1,710,531. 08/01/2022-07/31/2024.
  • NIH/NIA R44AG058312 (Phase 2B SBIR). PI’s: Clark and Dick. Development of Cortical Bone Mechanics Technology for Enhancing the Diagnosis of Osteoporosis. 07/01/2023-06/30/2025. $1,987,846
  • NIH/NIA R44AG058312 (Phase 2 SBIR). PI’s: Clark, Loucks, Bowman, and Dick. Development and validation of a novel non-invasive device for measuring the mechanical properties of cortical bone. $1,998,039.
    06/01/2021-05/31/2023.
  • NIH/NIA R43AG058312 (Phase 1 SBIR). PI’s: Clark, Bowman, Loucks. Development and validation of a novel non-invasive device for measuring the mechanical properties of cortical bone. $477,486. 02/01/18-05/31/2021.
  • Ohio University Innovation Strategy. PI: Clark. Innovative Strategies for Diagnosis of Osteoporosis and Prevention of Fractures. $875,000. 03/01/16-06/30/19.
  • Ohio Department of Higher Education. PI: Clark. ICorp@Ohio Osteoporosis Diagnosis Team Grant. $15,000. 05/01/17-08/31/17.

Interventional Strategies to Enhance Physical Function and Independence in Older Adults

Interventional Strategies to Enhance Physical Function illustration

Age-related muscle weakness is a major problem for older individuals, increasing the risks of disability and mortality 4- and 2-fold, respectively. Our work has heavily focused on the integration of exercise physiology, nutrition and pharmacologic interventions to improve the quality of life for older adults. Here, we have conducted numerous proof-of-concept and proof-of-mechanism clinical trials to examine efficacy and safety of exercise-based interventions (e.g., resistance exercise, high-intensity interval cycle training), pharmacological compounds (e.g., myostatin-inhibitors, skeletal muscle calcium sensitizers, novel neurotherapeutics), as well as nutritional supplements (e.g., linoleic acid).  

Active and Completed Research Projects

  • NIH/NIA R01AG080184. PI: Belury and Clark. Improving sarcopenia by targeting mitochondria    $3,226, 508. 07/01/2023-06/30/2028.
  • AHA Pre-Doctoral Fellowship. Sponsor: Clark. Trainee: Dallin Tavoian. Cycle high-intensity interval training to improve cardiorespiratory and muscular function in older adults. $53,688. 07/01/19-06/30/21.
  • Astellas Pharma Global Development, Inc. Site PI: Clark. A phase 1b study to assess the anti-fatiguability effect of CK-2127107 in elderly male and female subjects with limitations in mobility. $250,000. 6/01/17-12/31/18.
  • Regeneron Pharmaceuticals. PI’s: Clark and Law. REGN R1033-HV-1223 Phase IB Proof of Mechanism Study.  $549,734. 7/01/13-1/31/15.
  • Regeneron Pharmaceuticals. PI’s: Clark and Law. R1033-SRC-1239 Phase II Proof of Concept Study. $78,387.
    7/1/13-3/31/15.

Rehabilitation Strategies to Promote Recovery from Musculoskeletal Pain and Injury

An illustration of a brain

Musculoskeletal disorders affect more than one out of every two persons in the United States age 18 and over, and nearly three out of four age 65 and over. Low back pain (LBP) in particular exerts a staggering burden. For more nearly 20 years we have conducted research determining the effectiveness of conservative treatments, such as manual therapies and exercise, to minimize pain and disability associated with musculoskeletal pain and injury. In addition, this work has sought to elucidate the physiological effects and consequences of these treatments.

Active and Completed Research Projects

  • DOD CDMRP. PI: Grooms. Rehabilitation 2.0: Addressing Neuroplasticity in Musculoskeletal Rehabilitation.    $998,019. 09/30/18-09/29/23.
  • NIH/NCCIH R01AT006978. PI’s: Clark and Thomas. The RELIEF Study: Researching the Effectiveness of Lumbar Interventions for Enhancing Function. $2,051,896. 9/1/12-5/31/19.
  • NIH/NCCIH R21AR063909. PI: Clark. Innovative neurophysiological techniques for assessing trunk muscle control and function. $413,875. 9/30/16-9/29/20.
  • NIH/NIAMS R21AR063909. Novel exercise interventions to improve trunk muscle function: A Pilot Study.   $408,375. 7/1/14-08/31/17.
  • American Osteopathic Association. PI’s: Clark, Thomas, & Williams. Assessment of segmental vertebral motion characteristics of lumbar vertebrae. $100,000. 9/1/13-2/28/17.
  • American Osteopathic Association. PI’s: Clark & Thomas. Neurophysiology of low back pain. $84,875. 2/01/10-1/31/11.

Laboratory Collaborations

OMNI Collaborators

  • Dr. Cory Baumann, Ohio University
  • Dr. Leslie Consitt, Ohio University
  • Dr. Christopher France, Ohio University
  • Dr. Dustin Grooms, Ohio University
  • Dr. Chang Liu, Ohio University
  • Dr. Anne Loucks, Ohio University
  • Dr. Janet Simon, Ohio University
  • Dr. Julie Suhr, Ohio University

External Collaborators

  • Dr. W. David Arnold, University of Missouri
  • Dr. Martha Belury, Ohio State University
  • Dr. Sherif Elbasiouny, Wright State University
  • Dr. Todd Manini, University of Florida
  • Dr. Ryan McGrath, North Dakota State University
  • Dr. David Russ, University of South Florida
  • Dr. Seward Rutkove, Beth Israel Deaconess/Harvard Medical School
  • Dr. Christopher Thompson, Temple University
  • Dr. Stuart Warden, Indiana University School of Medicine
  • Dr. Yinan Zhang, Ohio State University